在慈恩齿科的名医殿堂里,林慧医生以其卓越的专业素养、精湛的临床技艺和深厚的学术背景,成为了正畸领域一颗璀璨的明星。作为慈恩齿科厦门门诊合伙人、主治医师,以及陈江山医生博士团队的核心医生,林医生以其独特的魅力和实力,赢得了广大患者的信赖与赞誉。
/
// 慈恩厦门门诊正畸专家 林慧医生 深受患者信赖
林慧医生毕业于广州医科大学,这座医学殿堂为她奠定了坚实的医学理论基础。她持有国家注册执业医师资格,是中华口腔医学会正畸专业委员会会员,这一身份不仅是对她专业能力的权威认可,更激励着她不断在正畸领域深耕细作。林慧医生的职业轨迹丰富而精彩,她曾任职于河南大学淮河医院颌面外科以及郑州大学第一附属医院。在这些国内知名的医疗平台,她接触并处理了大量复杂且具有挑战性的病例,从青少年到成人,从简单的牙齿排列问题到复杂的颌面畸形矫正,每一个病例都是她成长的阶梯,让她积累了极为丰富的临床经验,也锤炼出了她沉稳、细致的诊疗风格。林慧医生在专业领域不断进取,斩获了众多荣誉。她参加第一届舌侧正畸学术会议并当选舌侧专委会委员,这不仅体现了她在舌侧正畸这一高难度技术领域的深入研究和突出贡献,也让她能够与国内顶尖专家共同探讨、推动舌侧正畸事业的发展。同时,她荣获“中国隐形矫正二十年先锋人物”称号,这是对她在隐形矫正领域长期探索和卓越成就的高度肯定。此外,她还被评为奥世美熊猫矫正明星医生,这一荣誉进一步彰显了她在矫正技术方面的创新和引领作用。林慧医生热衷学术交流,参加ODB + UTIM正畸学术交流活动,与国内顶尖专家共探前沿技术,及时掌握行业动态并应用于临床。她还出席第一届舌侧正畸学术会议,分享临床经验与研究成果,推动中国舌侧正畸事业发展。此外,她参与「时代天使早矫国际论坛」,学习国际先进早期矫治理念,为儿童患者提供更科学、有效的矫治方案。
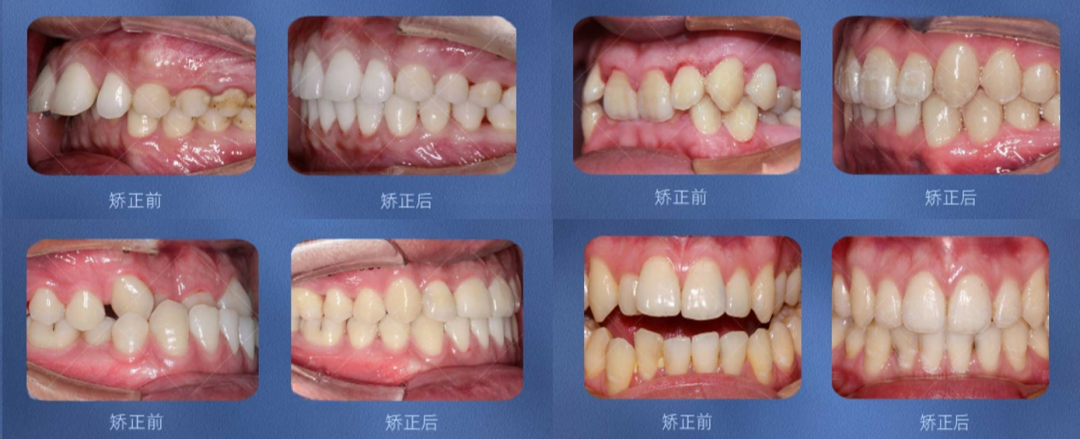
林慧医生主攻青少年及成人错颌畸形矫正,是舌侧、隐形、固定托槽矫正的“多面手”。
作为eBrace舌侧矫正认证医师,她擅长将舌侧矫正装置隐形安装于牙齿舌侧,实现高效矫正。同时,作为Invisalign隐适美及时代天使A-Tech认证医师,她熟练掌握多种隐形矫正技术,为患者量身定制隐形矫正方案。
在固定托槽矫正方面,她根据患者牙齿状况精准选择托槽类型和矫正方案。此外,她还擅长阻生埋伏牙拔除、牙周治疗及美学贴面修复,凭借精湛技艺和丰富经验,为患者提供安全有效的治疗方案。
林慧医生诊室里珍藏着许多与患者的温馨合影,每一张照片背后都有一个感人的故事。她秉持“把每个患者都当作最好的朋友”的理念,用心关爱每一位患者。在医师节那天,有许多患者亲自送花上门,表达对她的感激与认可。
林慧医生,以巾帼之姿勇立正畸潮头,用匠心之术雕琢美丽笑颜。她用实际行动诠释着医者的责任与担当,在未来的医学道路上,她将继续砥砺前行,为更多患者带来健康与自信,为慈恩齿科的发展添砖加瓦,书写更加辉煌的篇章。
